齒顎矯正治療實例

成人矯正案例

成人齒顎矯正案例

 

齒列擁擠

齒列擁擠矯正案例

 

開咬

開咬矯正案例

 

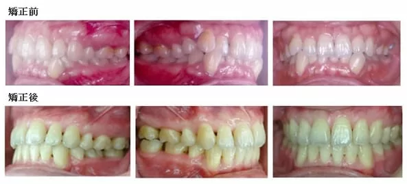
下顎後縮

下顎後縮矯正案例

本所療程須由醫生評估後,依個人口腔狀況進行診療,但因每位患者個別狀況不同,術後狀況也不盡相同,因此皆需親來本所由專業醫生評估
歡迎來電洽詢 : 02-2731-3456
關閉